16 B超中的伪影及图像处理基础
作者:
MingXiao
16.1 超声伪影成因
超声成像仪器的假设条件
- 组织之间的声速不变
- 声束沿直线传播
- 反射回的声波仅经过一次反射(从超声脉冲发射到声信号返回到换能器的时间,与该界面到换能器的距离直接相关)
- 声能在组织内的衰减系数是均一的
- 所有回声信号默认来自声束中轴(旁瓣伪影的成因)
- 回声强度与反射面的阻抗率差相关,不与组织成分直接相关
16.2 伪影形成机制
回声失落
见4.3.3节
边缘折射声影
常常出现在球形病灶的两个侧面边缘,由于声折射回波无法传回导致

衍射声影抵消
在衍射发生的后方,会产生一个亮斑

镜像伪影
在一个强反射面,声束经过反射后产生伪影;因为直线传播的假设导致的伪影

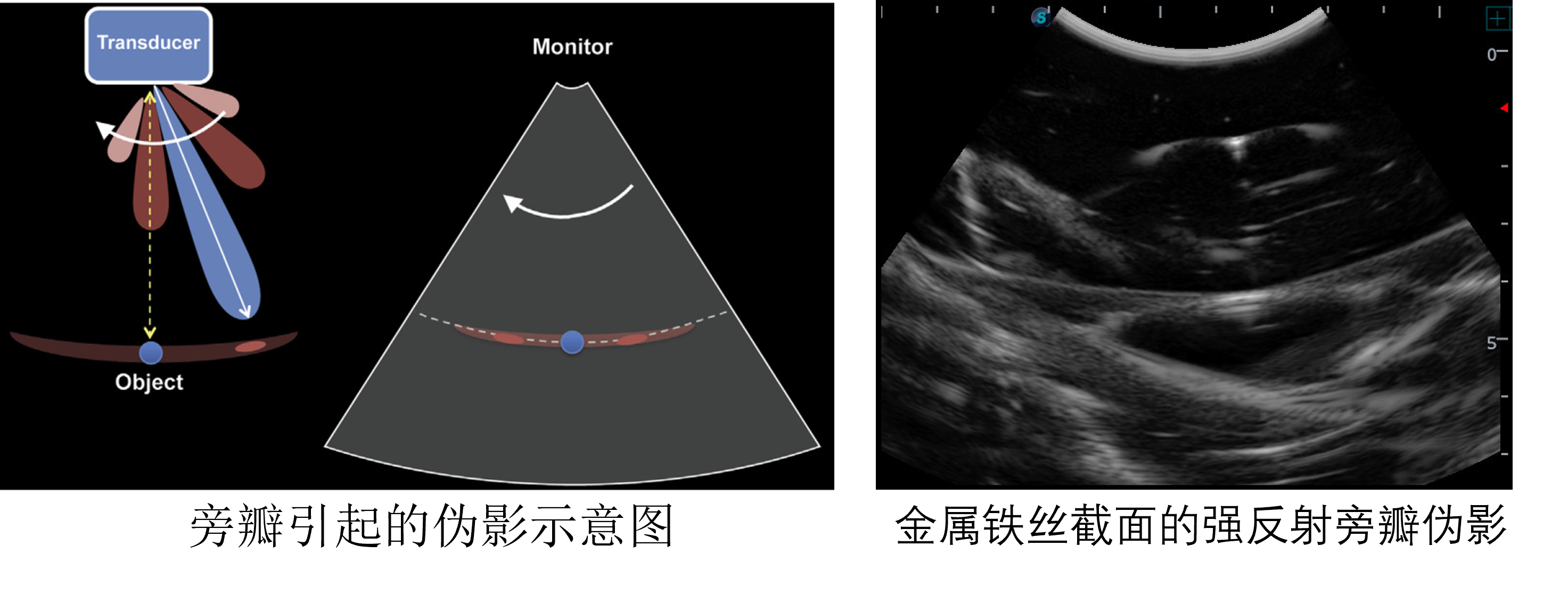
旁瓣伪影
如果旁瓣的能量够强,能够成像,但是默认只有主瓣成像,那么在主瓣当前方向就会产生伪影

上面会产生四个伪影
部分容积效应
声束的宽度不可忽略,如果有小于切片厚度的病灶被切割,则图上表现为既有病灶又有周围区的重叠回声图
亮度增益调节不当
增益太大,使弱回声区亮度太大;太小,会使得图像太暗
衰减伪影
声束经过强反射/吸收/衰减面后强度大大减弱,这会导致在反射面之后的病灶不容易被发现
混响效应
在强反射界面之间多次反射的声波会被认为是多层

16.3 B超图像噪声特点和去噪算法
主要是乘性噪声
\[
g(x,y) = f(x,y)\cdot m(x,y)+\eta(x,y)
\]
其中\(m(x,y)\)表示系统的乘性散斑噪声,乘性噪声一般由信道不理想引起,它们与信号的关系是相乘;由系统的时变性(如衰落或者多普勒)或者非线性所造成的
使用中值滤波进行去噪,散斑噪声服从瑞利分布
16.4 图像增强算法
- 直方图均衡化/规定化,但这里的名称是直方图修整法
- 频域滤波